挑战Neuralink,硅谷大佬争相涌入的超声脑机接口是什么?
来源:36kr 2 天前

在人工智能浪潮席卷全球之际,脑机接口(Brain-Machine Interface, BMI)这项曾仅存于科幻想象中的技术,正悄然成为硅谷大佬竞相布局的热土。OpenAI创始人Sam Altman低调创立的脑机接口公司Merge Labs,正试图通过基因编辑与超声波技术路径,与马斯克的Neuralink展开正面竞争。

2025年上半年,多家超声脑机接口初创企业陆续获得硅谷顶级投资者的青睐。与Neuralink需穿透脑膜的侵入式电极不同,超声脑机接口借助超声波读取血流信号,以非侵入方式解码大脑活动,开辟了一条全新的极富想象力的技术路线。

本期《硅谷101》,我们邀请到格式塔Gestala与脑虎的创始人彭雷,他的这两家脑机接口公司分别践行超声与电信号两种技术路径。播客主理人泓君与彭雷一起聊了超声脑机接口的原理和优势,它的适应症方向与商业化前景,中美两国在这一领域创业环境的差异,以及脑科学与人工智能如何相互启发,并走向融合共生的未来。

以下是这次对话内容的精选:

01

整体地去解读大脑

泓君:我这次来上海的时候就在想,我要在所有的这些上海的公司里面选一家我最感兴趣的公司。我觉得你们做的事情非常前沿,正好联系到您的时候才知道,您开始了一次新的方向的创业,而且这个创业又是在整个行业的一个新的起点跟浪潮点上做的,叫超声脑机接口。

关于脑机接口,我的第一个疑问就是,它现在的缺点是什么?为什么你要开始一个新的又是跟脑机接口相关的事情,但是听起来整个的技术方向不太一样?

彭雷:OK,那我就讲一讲脑机接口这个行业它怎么演进过来的,以及为什么我们认为超声脑机接口会是下一代脑机接口。其实脑机接口本身讲起来不复杂,我们人脑就这860亿个神经元,它的放电决定了我们所有的认知跟感知。像现在我坐在这跟您聊天,本质上就是我的神经元在放电,你的神经元也在放电。脑机接口是通过“电信号”来解码或者编码大脑,它就需要有电极,你可以理解成非常细小的金属丝,贴在大脑皮层表面,或者插在大脑皮层里面,来对那一部分的神经元信号做记录来解码,或者对那一部分的神经元进行刺激来做编码。这就是过去的传统的电学脑机接口的诞生。

最早美国科学界一九七几年就有这个脑机接口的概念了,但是把真正电极插在脑子里面,能够记录到电信号做解码,或者能刺激大脑能进行编码,那其实在科学界已经走了三四十年了。产业界是最近10年开始出现了一系列的公司。Neuralink这家公司诞生到现在也是10年多的时间了。

为什么我做了脑虎3~4年,现在开始做新的格式塔超声脑机接口的公司,原因几个点。就通过我自己在电学脑机接口的这三四年,觉得电学的刺激特征非常清晰,他有明确的解码能力,也能对某一个区域做特别清晰的调控,能达到临床的价值,这是确定性的,没有问题。但我有一个比较长期的假设是,我认为大脑其实远比我们想象的要复杂,这860亿个神经元信号的解码,一定不是说我记录了左边一点点,右边一点点,后面一点点,然后拼到一起,就能对大脑作为整体的解码。我认为大脑有更复杂,更高一层的能力,我们可能都还没有意识到,也还没有解读的能力。

泓君:所以我们需要解读整个大脑,而不是大脑的某一个区域。

彭雷:解读某个部分也一定是有价值的。比方说医学上有些病,就是这个区域的,那我对这个区域进行“读”或“写”,就能治好。就像帕金森的脑深部电刺激(DBS)治疗中,我只要刺激一个清晰的STN(丘脑底核)核团,他手立刻不抖了。

但是这种局部的读写,我觉得不能达到我希望做脑机接口的一些终极目的。我想知道人的大脑到底怎么工作的?为什么我会有思维意识、记忆、情感?为什么我有主观感受跟客观感觉?为什么人跟动物之间有区别,为什么人跟人之间认知和思维意识形态上也有区别?而要解开这些问题,一定得把大脑看成一个复杂的整体,更有可能找到一些终极答案。

这是我做了四年电学脑机接口之后,做超声的一个最重要的原因,这也是为什么我这家新公司的名字取作叫格式塔。格式塔(音译自德语Gestalt,指具有不同部分分离特性的有机整体)是大概1910年在德国的心理学家提出的一个心理学概念,概括起来一句话,“整体大于局部之和”。我认为大脑一定是一个整体大于局部之和的东西。哪怕我把大脑皮层所有都插满了Neuralink的电极,它可能只是我局部的叠加,不是整体大脑应该有的信号。

图片来源:neuralink.com

泓君:我相信科学家他们在研究大脑的时候,他不仅仅也是想研究局部,他也是想要研究整体的。但是这个可能需要有一些基础科学的突破,您看到有什么样的一些方式,可以整体上研究大脑吗?

彭雷:特别好的问题。首先我觉得人对自己大脑的研究,这个跟医学的进步是非常相关的,特别是以医学影像学为代表的。从伦琴发现X射线到CT到PET-CT,到MR(磁共振成像),到后面的一系列的精密的医学成像,其实这个技术也就是从上世纪70、80年代之后,人类可以通过非侵入的方式,在影像下比较清晰地看到自己大脑的结构,能看得见灰质跟白质的区别。

但是这些更多的是看生理上的结构,就比方说有没有病变,有没有出血、有没有肿瘤。你其实看不见大脑的功能性特征。大脑的功能信息,就是它的电信号,或者它神经递质的这些变化,在影像上面是比较难看到的。后来有了fMRI(功能核磁成像),能看到大脑怎么活动,这是人类第一次可能尝试对大脑整体进行解码。

对大脑整体地去做研究,并不是我发明的概念。其实在fMRI的时代就开始有了。特别是过去10年的时间,科学界围绕功能核磁跟情绪的关系,对精神类疾病,比方说抑郁、自闭等等,对大脑通过功能核磁的方向描绘了非常多的功能区的连接图谱。

但核磁最大的问题是它的时间分辨率很差。它看到的其实是大脑里面某个区域的血氧信号的提升,血氧信号的提升就代表了这个区域相对可能比较活跃。它是个间接信号,采到这个信号到解出来可能有几秒钟的延迟。再加上本身血流信号、血氧信号跟电活动的信号之间就有一个时间差,导致了它可以对全脑进行成像。但是它没有办法对全脑的时间上的分辨率做得很高,这是核磁技术发展到现在的一个限制。

泓君:为什么时间很重要?

彭雷:大脑有860亿个神经元,860亿的神经元之间有上十万亿的连接突触。我们很多描述大脑功能的前提是说,比方说你这块脑区产生活跃之后,它紧接着下一个脑区形成了相应的增强或者是抑制,它们之间的时序关系,其实是一个重要的对你产生控制的因素。你不能把大脑看成只是单点在工作,它是神经环路,形成了各种交叉的网络,就像红绿灯一样的。一个城市的红绿灯网络,是对整个城市的交通做精密调控的基石。如果说你没有时间的观念,红灯绿灯之间的控制时间上误差特别大,那交通一定会乱掉的。所以说“时序性”是大脑作为神经环路功能体现的一个非常重要的基础。

泓君:所以我们要弄清楚大脑是怎么工作的,就需要有技术的手段去解决大脑实时的信号,就是这些神经元之间它是如何工作、如何放电的。信号的数据收集,越多越快越精准,就越好。

彭雷:是的,时间跟空间的分辨率同时提高。我描绘一下,比方说30年之后的脑机可能会是什么状态?就是说,它能够对860亿个神经元的时间跟空间的分辨率都做到极致,空间上就是单神经元级别每一个细胞在做什么我要知道,时间分辨率就是这个神经元细胞每10微秒做了什么我都知道。因为一个神经元可能一秒钟会发放上百次的信号,它的每个信号之间的间隔可能只有微秒级别。那如果我们能够精确到时间上以10微秒为单位,空间上以几十微米的神经元尺度为单位,那我觉得这个大脑在我们面前其实就是透明的。

泓君:现在世界上最先进的侵入式脑机接口技术,它能够同时扫描到多少大脑的信号?它的时间跟空间的速度是怎么样的?

Neuralink植入的首位患者 图片来源:neuralink.com

彭雷:特别好的问题,那就讲Neuralink了。马斯克的Neuralink确实是这个领域里目前最领先的公司。去年它植入了第一个患者叫Noland,到现在植入了12个患者。它植入的患者都是用的1,024通道的电极,这个电极有1,024个触点,就意味着每个触点平均能记到一到两个神经元信号不等。但是它并不是所有通道都能记得到,它插进去的过程中有可能损伤,有可能有偏移,有可能记不到。

我们粗略估计,Neuralink能记录到1,000~2,000个神经元的信号,我觉得是可以的。2,000个神经元对于860亿来讲,是可以忽略不计的,所以说我说它是一个局部的信号的解码。空间的角度也可以给您一个数据,马斯克的Neuralink把电极插在脑区表面的这个面积,占整个大脑表面的面积是多少?千分之1.3。整个大脑表面面积的999‰都还没有被记录下来。

但时间上的话,电学的信号是做的比较好的,因为现在它的电极直接跟神经元是接触,神经元放电,电极就能记录了下来,这个时间已经可以做到10微秒以内。你可以理解电学脑机接口的特征,就是电信号的时间做得已经非常接近实时了,但是它的空间覆盖只有1.3‰这只是表面,它只能插到表面3毫米,大脑内部还有大量的功能区,大脑有8厘米厚,你如果你要插到深脑,那要8厘米的电极,这也是马斯克预测他明年要做的。

泓君:马斯克说他2028年要把电极做到2.5万个电极通路。

彭雷:这点上我不担心,电学脑机接口行业里面有一个概念叫“摩尔定律”,基本上每18个月,我们能够插在脑子的电极数翻一倍。但他是一个设备,还是几个设备植进去?这个不一定,它可能是个组合。现在的电极只能插在脑子3~5毫米,他们确实计划在做下一代的电极,可以通过大脑插到深脑核团,大概能够插6~7厘米的这种电极,但现在还没做出来。

泓君:现在脑虎可以做多少个电极数?

彭雷:现在国内的不光是脑虎,包括在上海北京的几家的公司,大家的数量都在64~256不等,差不多一年半翻一番。

泓君:嗯,看起来跟Neuralink差距差不多是三年。

彭雷:所以说我们在很多场合里面讲过,Neuralink这个技术路线,脑虎也好,其他几家公司也好,我们大家都在一个方向上。这个方向是对的,有价值,也有摩尔定律,也能看得见,跟马斯克的差距三年左右,而且也能够看得到差距在逐步缩小的这么一个趋势。所以我觉得中国我们这些脑机接口的公司,在过去四年还是做了非常多颠覆性的工作,产生了不错的成果的。

泓君:是的,2.5万个电极数跟大脑的860亿神经元差距还是很大的。然后我们刚刚看到以传统的方式做侵入式的脑机接口,它的优势是时间信号的同步性,那超声脑机接口呢?

彭雷:这就讲到了我成立格式塔这家公司的原因,我为什么觉得超声可能是下一代脑机接口一个最重要的技术路线之一。目前来看,最有可能的原因就是,它提供了一个对全脑实现时间跟空间分辨率都比较高的、成像跟调控闭环能力的这么一个平台。

这里面展开讲一下,比方说大家体检都做过B超,孕检也是,都是超声。超声成像用于临床上已经有几十年的时间了,非常安全,没有放射性,不像CT跟X光是有辐射的。它的信号图像,第一是有噪音的,第二分辨率并不是那么高,这是过去用于诊断型超声的一些特点。

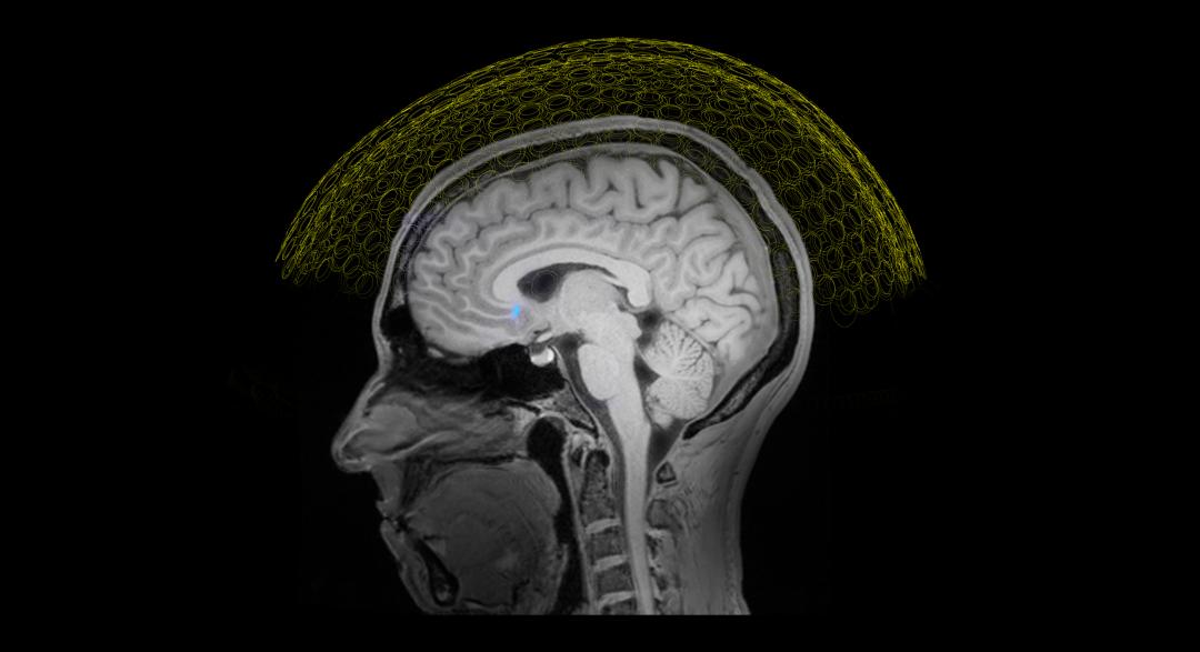
超声用于脑机接口,好处第一就是它的成像的范围可以放大到全脑,我们做过测算,比方说以Neuralink同等大小的这么一个设备,作为一个探头的话,放在这个位置,也就是从电学脑机接口换成超声脑机接口,它对脑区的覆盖范围是什么区别?Neuralink是插进去整个大脑皮层的1.3‰,而超声脑机接口放在同样的位置可以对整个大脑体积的25%成像。

图片来源:sanmai.tech

泓君:什么设备,戴在什么位置?

彭雷:一个头盔,超声脑机接口的一个探头,放在大脑颅骨位置。假设跟Neuralink一样的位置。Neuralink把这里的头皮掀开,把骨头拿走,放一个硬币大小的设备在这里,对吧?那假设我们把超声也做到这么小了,放在同样的位置,我能监控的大脑区域的体积是25%,这是个空间上的区别。

时间上,现在我们还做不到像电学那么高的时效性,但这个时效性也可以比fMRI(功能核磁成像)要好很多了。功能核磁这个信号延迟,可能大几秒钟,甚至10秒钟都有可能。但是超声可以把血流信号的成像时间,基本上做到1.5秒,或者是0.5秒。而且能看到的血流信号本身其实在超声下是没有什么延迟的,基本上是实时的。

泓君:相当于它监控的,从“电信号”换成了“血流信号”。

彭雷:就像我们大脑在放电,它是需要周围的血管给它供血的。当这块神经元想放电的时候,它可能是提前,或者有些类型的神经元是滞后,会从周围的微小血管、毛细血管中形成血流的聚集。超声对大脑的解码不是电信号的,而是这些神经元周围的微小血管里面的血流信号。

这两个信号都是实时的,但天然有0.5秒到1.5秒的时间差,这就是电跟声的区别。血流的信号本身是实时的,基本上是以毫秒为单位的。

02

电学v.s超声

脑机接口优势比拼

泓君:我知道侵入式的脑机接口。如果你有高位截瘫,你可以用这个脑机接口去控制语言、控制运动。同时也有脑机接口,在解决失明的问题,我们之前有播客聊过一期。超声脑机接口,它的主要功能跟作用是什么?

彭雷:不管哪种脑机接口,最终都得回到临床上,看对什么样的患者有什么样的价值。电学的脑机接口,现在分成了“读”、“写”两个路线。“读”的脑机接口更多的是做运动解码跟语言解码。脑虎也做到了这样非常好的一些demo。大家针对的患者,像渐冻症,像高危截瘫,通过脑机接口,让他通过解码的方式,能控制鼠标,那这样的患者就获得了Digital Autonomy(数字自主权)。这是在电学脑机接口的时候主要的适应症。

图片来源:neuralink.com

彭雷:超声一上来的适应症,更多是以“写”为主。“写”的话,用超声的,我们叫相控阵(Phased Array)的一个技术逻辑。相控阵大家肯定不陌生了,中国在很多军事领域里面都把相控阵的雷达这个技术发挥到了非常领先的工程能力。相控阵用于雷达的探测跟相控阵用于超声的刺激,其实原理上是一样的,就是有多个阵元,这个阵元发出的超声波的时序跟幅值前后有差异,让它形成了在颅内聚焦的一个焦点。这个焦点沿着你大脑一路聚焦之后,就可以对你大脑的某个位置的神经元产生影响。这种影响可能是一种“机械振动”,或者也是一种“温声”。这两种效应都可以让神经元被激活或者被抑制。有了这两个能力之后,它的适应症针对的是一些比较特别明确的适应症。

第一个适应症,我们现在在研究的是慢性疼痛。疼痛这个市场,中美是有重大区别的,美国人不抗疼,什么病都吃两口。在美国的疼痛药的滥用,包括像芬太尼,也是一个巨大的社会问题了。在美国,我们的合作伙伴已经开始做了一些临床试验。发现对于这种长期吃止痛药的一些患者,我们用超声波对他大脑里面的ACC脑区,进行超声相控阵聚焦的刺激,能够让那块区域的神经元被抑制。

所谓疼痛,就是这些神经元可能本身过于兴奋,导致你感觉到疼。比方说癌症的疼痛,或带状疱疹的疼痛,一些外周神经的疼痛,或者是残肢的幻痛等等,它都会汇总到你的中枢神经系统。在你的大脑的这个脑区里面变成一种可调控的靶点,基于这个靶点去做刺激,我们就发现患者在超声治疗40分钟之后,他的疼痛感立刻就下降了 60%~70%,而且可以持续7天。

泓君:美国在止疼跟止疼药这一块发展得非常超前,大家通过口服药物就能解决这个问题。而如果用超声脑机接口来解决这个问题,可能你还要做一个开颅手术,然后把超声装置安上去?

彭雷:超声脑机接口跟电学脑机接口还有一个区别,就是大家都有一个所谓的侵入式、非侵入式、半侵入式的分类。电学有非侵入式的,比方说带着一个头盔或者贴在额头上的这种。然后有半侵入式的,就是打开颅骨,但是不打开硬膜,电极不插在脑子里面,贴在脑膜上的。第三种是把脑膜揭开,直接插在脑子里面的这种,就是Neuralink的路线。对超声来讲,有非侵入式跟半侵入式,现在的超声是不用侵入式的。

泓君:“半侵入”是什么意思?

彭雷:半侵入就是可以去掉颅骨,但是不开硬膜。大脑从结构上来讲,那个膜揭开之后才是你的整个脑组织,它被泡在脑积液里面。所以说那个膜本身是一个非常重要的免疫屏障。原则层面上如果你不破那层硬脑膜的话,其实你是没有对组织产生直接的损伤。现在超声脑机接口的方向选择的,第一是非侵入式,第二种是半侵入式。刚才我描述的在慢性疼痛的这个场景下,我们针对都是非侵入式。

泓君:它的设备是?

彭雷:有点像个头盔。

泓君:戴一个头盔,一次30到40分钟的治疗,它就可以缓解七天的疼痛?

彭雷:他躺在一个病床上,然后有一个头架,把他头固定在上面,可能会有一些引导的音乐,有一些指令,大概40分钟左右。从病床上起来之后,他的疼痛感就会被明显地下降。

图片来源:https://spire.us

泓君:这个听起来是非常容易商业化的,它的商业化的难点是什么?

彭雷:讲到商业化就可以再展开一下超声脑机接口,刚才讲的用到疼痛管理是第一个适应症,但是这个适应症在全球都还没有拿证。其实这个也很简单,就因为整个超声用于大脑调控这件事情,科学界其实也就是近10年才开始研究。包括对机理、对参数、对安全性的验证,现在FDA(美国食品和药物管理局)也好,中国的NMPA(国家药品监督管理局)也好,都是属于刚刚接受这个技术可以用于大脑。过去超声只能用来看肚子,做B超,这叫成像,对吧?做调控的,叫超声刀,这你肯定听说过。

泓君:女生很喜欢的,医美。

彭雷:那个叫超声炮,相当于把面部的法令纹打掉,它其实就是隔着你的皮肤打到下面的真皮的这一层,把一些组织相当于灼烧了一下,那它就被收紧了,收紧之后它皮肤再生修复的时候会产生胶原蛋白,那你可能皮肤就鼓起来了,然后因为收紧了,你皮上皱纹就变少了,这是超声炮的原理。这种打在组织上、肉体上的超声的这种调控,是拿过证的。但是这些东西从来没有打过脑子,因为超声炮也好,超声刀也好,它对组织是会产生切割。

泓君:类似于“先摧毁你再重建”的这样的一个感觉。

彭雷:超声是可以做切除的,可以做“空化”的。之前有个公司不知道你有没有关注过,李嘉诚在香港曾经捐助了两台设备,做组织破碎术。针对肝癌,通过超声可以直接把这块癌组织打碎掉,就打成液体,等你的正常组织把它慢慢代谢掉,就实现了一种不用开手术,隔着肚子,就可以把里面的某块肿瘤打碎掉的能力。这就是超声在高强度下的应用。当刀用,当组织破碎用,当美容炮用,这都是已经被验证了的,但是直接打脑组织是最近10年才开始的,风险太大了——就是你不知道你在抑制疼痛的时候,你是不是会伤害跟抑制到你其他的脑组织,因为我们毕竟还不知道大脑是怎么运作的。

泓君:这个拿证需要你证明什么?首先是证明你这个技术是有用的,然后证明你没有显著的副作用?

彭雷:这也就是医疗器械类的设备的一个最重要的思维逻辑,它跟我们原来做互联网产品不一样,互联网产品恨不得我今天推出两周一个迭代的快速迭代,但医疗产品它最大的一种思维逻辑就是它是以一个明确的适应症、一种明确的疗法,在充分测试安全性跟有效性之后,来授予你一张证。而一般拿一张证,二类器械需要3~4年的时间,三类器械可能需要7~10年的时间。

03

超声脑机接口的商业化前景

泓君:刚刚我们讲到了超声脑机接口,它可以去做疼痛管理,除了疼痛还有哪些方向的应用?

彭雷:第二个适应症,可能是中风后的一些康复。中风有出血性中风跟缺血性中风,那缺血性的脑梗它会有神经元的批量的坏死,因为那块血液供不了了。在急性期或者在恢复期的时候,有机会用超声对它的这个区域进行调控,可以减少神经元死亡的数量。

第三个方向是阿尔茨海默(AD),这是个巨大的市场。医药界在阿尔茨海默里面的研发投入,我估计1,000亿美金都有了,现在都没有一款特别有效的普适的药物,对AD的成因以及调控方法其实还没有非常确信的东西。但是超声给了一个思路,因为超声本身是有机会通过无创的、非侵入的方式,加快对Tau蛋白、Aβ蛋白的沉积的代谢。包括提高小胶质细胞的代谢能力,来实现对沉积的代谢的提升,这是在科学界做过一些尝试。

超声也有机会打开血脑屏障。因为我们大脑的血管跟组织之间的血管,跟身体的其他组织不一样。我们身上其他的血管,药物是可以透过血管壁的。但大脑的血管,药物是过不去的,它是我们自然进化出来对大脑一种保护能力。但超声可以把局部的血管的血脑屏障打开,那一些针对阿尔茨海默的药,就可以通过这种血管进到直接组织。

还有特别有意思的点,还没在人身上试过,但是我们试过在动物身上直接打海马体。海马体是人类记忆的中枢,阿尔茨海默患者到后期,海马会急剧的萎缩。通过超声直接打海马,能够看到那块区域的代谢在加强,神经元的活性在提升,甚至打出了Neuroregeneration(神经再生性)。通常神经元死亡是不可恢复的,从过去的研究上面来看,只有海马体有一部分神经元具备可再生的能力。而对于阿尔茨海默的患者,他的这种再生能力也变得很弱,但是超声的调控有可能让他这部分加强。

第四个适应症,我也很感兴趣的市场是睡眠。我看我周围很多朋友说,这个是他最需要的事情。

泓君:我觉得很多人都有睡眠困扰,它是现代人压力大的一个普遍的问题。

彭雷:现在我们在临床上做了一些早期的实验,通过对睡眠中枢的刺激,能够让那种常年失眠的人,大量吃安眠药的人,能够在医院做超声治疗的时候,在病床上就睡着。当然这个事情可能还需要去泛化一下,是不是对所有人都是安全跟有效的,包括每个人调控的靶点,可能都还不一样。但是如果能够找到一套对不同人群都有效的入睡的方法,那这个其实也是一个巨大的市场。

再往后的适应症,可能是一些精神类疾病,比方说严重的抑郁症,像自闭症,像多动症(ADHD),包括一些强迫症(OCD),一些成瘾,包括毒瘾。其实大部分的精神类疾病,都没有器质性的这种结构上的变化,本质上其实就是电信号的异常,某个区域异常活跃,或者某个区域异常的不活跃。包括像癫痫,其实就是他大脑的放电一下子短路了,所以人就躺在那,完全失去意识了,本质上就是大脑的一个电学风暴。所以说这种信号上的异常的精神类疾病,也是超声脑接口未来非常重要的应用场景。

图片来源:nudge.com

泓君:基本上把现在人类与大脑相关的几大“骑士疾病”囊括进来了。你刚刚讲的这几类场景,比如说疼痛管理、缺血性中风、阿尔茨海默、还有抑郁症、睡眠——这五大场景,分别有哪些公司或者是科研机构,他们已经有了一些临床上的研究,能够证明这条路已经跑通了。刚刚您讲的时候是有很多的例子的,这些例子的来源是哪里?

彭雷:对,特别好的一个问题。超声用于大脑的调控是最近10年,我刚刚讲了这五六个方向,其实国内的话起步稍微晚一点,包括我们自己在国内,格式塔刚刚开始做一些临床性的研究。美国做得最早,欧洲也有一些机构。像加拿大的机构,跟在美国的几所大学、研究所里面相关的实验,在三四年前就在做了。但还好,整个这个领域里面中美之间的差距并不是那么大。

为什么我说我对格式塔在做中国超声脑机这件事情有足够的信心。原因是中国有几个天然的优势,一个是我们患者人群多,任何一个适应症,我们都是西方跟欧洲的任何一家国家的10倍或者20倍做临床实验。第二,我们的动物实验相对还是更自由一点,特别是欧洲,做非人灵长类的实验已经要难一些了。中国在这个领域里面可以快速地把这些有效性跟安全性的验证数据拿到,甚至比西方更快地去拿到医疗器械许可证。

04

硅谷大佬隐秘布局超声脑机接口

泓君:超声脑机接口现在有哪些比较典型的公司吗?我看最近Sam Altman,还不是说投资,他成了一家脑机接口公司叫做Merge Labs的联合创始人。他们正在跟OpenAI谈一个,看消息放出来是2.5亿美元的融资。他可能不仅仅是用超声的方式,还是一种基因疗法去改造神经细胞,加上超声。

彭雷:这也是我启动格式塔的一个原因,就是我看到了在超声这个领域,美国并没有比我们领先多少,中美的差距其实更小。美国大概有四家公司比较重要的拿到了钱的公司。

最早的一家是Spire,这个是在犹他大学的一家公司,也是陈天桥投资的。我新创办的格式塔,也是陈天桥跟我联合创立的。所以说,天桥在这个领域里,是非常重要的一个股东。

第二家公司叫Nudge。Nudge的团队里面有将近十个人,都是从Neuralink出来的。然后这家公司在两个月之前,融了1亿美金的A轮。这个A轮的投资人叫Thrive Capital,是OpenAI的最主要的投资者之一。

泓君:硅谷非常活跃的一家大资本,出手基本上都是几个亿的这种,它有一点点偏PE级。

彭雷:是的,这家基金其实非常之敏感,因为它的这个Founder,叫Joshua Kushner。他是伊万卡老公的弟弟,跟整个政策的核心决策权是非常近的。另外Nudge的CEO,叫Fred,他也是Coinbase原来的创始人CEO。所以别人跟我聊天特别有意思,说为什么做比特币、做Crypto的人,会来做超声脑机?我说挺好啊,说明这些WEB3.0的人,想投资一下WEB4.0,哈哈。

泓君:这个Nudge它是做什么的?我看它是低强度的超声头盔,也是指非侵入式的。

彭雷:对,非侵入式的。他们选了一个非常细微的切口,做PTSD(创伤后应激障碍)

第三家,Forest Neurotech,加州理工学院里面的一个博士后跟几个老师成立的,这个团队也非常优秀,我跟他们几个人都聊过,但他们这个机构叫FRO(Focused Research Organization,聚焦型研究组织),它不是一个创业公司,有点像OpenAI最早定义成一个非营利性组织一样。这是比较符合加州理工的这些教授他们做事情的一个原则。它最主要的一个捐赠者是Eric Schmidt,就是原Google的CEO。

图片来源:forestneurotech.org

泓君:这家是做什么?

彭雷:是做超声的,它的超声就是做半侵入式的超声了,需要把颅骨打开。功能上,他们做失眠,也尝试做一些意识障碍人群的唤醒,像植物人的唤醒之类的。逻辑都是一样的,只是你刺激不同的位置,就针对不同的病。这几家公司每家都有第一个入手的适应症,大家也都不太一样。

第四家,Sanmai,这家公司的投资人是Reid Hoffman,就是Linkedin的创始人,也是硅谷一个大佬。Reid Hoffma投这家公司,大概就是三个月之前的事情。

最新的一家就是Merge Labs,Sam Altman成立。我觉得这很好理解。Sam跟Elon之间的冲突,已经是AI行业的一段佳话了,对吧?他们已经骂成这样了,所以说Sam也一直想在脑机这个领域里面进行布局,他成立了Merge Labs的时候,就一定会选择跟Neuralink选择不一样的技术路线。

为什么是AI公司来投?这就回到了我在很多场合上讲的一句话,我觉得神经科学跟人工智能是一个硬币的两面。人工智能的整个发展都受制于神经科学最初对神经元的启发,才有了神经网络,才有了反向传播,才有了一系列概念上的提升。而我觉得神经科学下一次颠覆性的突破,一定也会给AI带来重要的突破。我觉得Sam这个时候下场做Merge Labs的原因是来自于这里。

泓君:Merge Labs在解决什么问题?

彭雷:Merge Labs没有公布详细的信息,但是它讲的两个概念,跟我们是非常一致的。首先它加了一个基因改造这方面,其实我们格式塔在今年的五六月份,最早地想到了这个概念。我5月专门去美国跟去年的诺贝尔奖获得者David Baker聊了关于基因改造,用涉及蛋白质的方式来做一些提升。

我觉得这里面有个基本的假设,如果我们相信人脑以后跟AI,可以完全高通量地打通,甚至出现像《黑客帝国》那种能够将自己的意识在数字空间里面完全连接起来,这一定是我们终极的目标。但做到这一步的前提,我相信我们的大脑本身是要做改造的。

我们认为用基因疗法对大脑做一定程度的改造是必要的,这样能让大脑真正地,跟超声也好,跟未来,whatever什么样的脑机技术也好,更好地融合。

这个回头一想我觉得其实非常贴切,大家都还记得我们看黑客帝国的时候,墨菲斯给了尼奥两颗药丸,一个红色的药丸,一个蓝色的药丸,你选择吃哪颗?你可能从那个幻觉中,可以想象过来。当时我们觉得那只是电影表达的一种意象,回头来看它可能就是一种基因改造的药物,让你大脑进入了某种突变跟变化之后,你才能跟Matrix连起来。

泓君:哇,还有这层解读!

彭雷:这是我自己想的,我不知道,但我非常喜欢这个概念。我觉得就基本假设,就是如果人脑跟 AI 要完全连起,那人脑本身要被改造。我在这个假设层面上跟Sam判断是一样的,这也是我们一定会探索的事情。

图片来源:电影《黑客帝国》

泓君:刚刚我们聊到的时候,你着重讲了非侵入式的超声脑机接口,那我们为什么还需要半侵入或者侵入式的超声脑机接口呢?

彭雷:这里面有个非常重要的逻辑,就是颅骨。超声波在大脑内,不管是“读”还是“写”,最大的一个障碍就是骨头,没有之一。骨头会让超声波出现散射,而且这种散射是不规律的,因为每个人的颅骨的厚度、颅骨里面的空腔大小,都不太一样,从算法的角度来讲非常复杂。所以做调控的时候,隔着颅骨打进去,就做不到特别精巧的聚焦。去掉颅骨之后,大脑在超声面前基本上就是透明的。大脑本身也是包在脑脊液里面的,而脑组织神经元,跟脑脊液,跟硬膜,在超声传递的过程中都不会形成散射,不会有重大的信号的偏离。

所以我们先做非侵入式一定是对的,因为它容易走向商业化,但如果我们希望实现刚才讲的那种终极状态,更高带宽地人脑跟AI做连接,那我们一定会想办法绕开颅骨。

现在大家觉得侵入式很可怕,但我自己在手术室里面跟着病人做了好几次手术之后,觉得也没有想象的那么可怕。

泓君:为什么?

彭雷:我们总觉得好像把颅骨打开是一件非常恐怖的事情,但是在外科医生的角度来讲,这跟做一个美容去隆个鼻子,没有本质区别。

泓君:只要不伤害到脑积液,脑膜的那部分就是可以的?

彭雷:都是把皮肤切开,都是把骨头垫高或去掉。那如果我们都能接受去隆个鼻子、削个下巴,已经做了这么多例了,我们为什么不能接受下一代的脑机接口可以换掉你一块头骨呢?这个我觉得是完全可以接受的,因为不破硬膜。但Neuralink不行,Neuralink必须得把硬膜破开,电极插进去,那个会对安全性跟免疫性有更高的要求。

我们不认为超声需要破硬膜。因为在超声的面前,那个膜跟那个水是透明的,我隔着膜就能探测到里面的血流信号,我不需要把膜掀开了,这是最大的一个区别。所以它带来了一个非常我们觉得很好的一个天花板的空间,就是我甚至之前描述过一个概念,可能以后的终极状态是,我们会把现在这种颅骨换成一块“数字颅骨”(Digital Skull)。

泓君:你刚刚在说这个的时候,我就在想,因为一块超声扫25%,我搞四块,整个大脑就扫描上去了。

彭雷:是的,这就是我们觉得超声的下一代。从“非侵入式”到“半侵入式”会怎么样?超声的半侵入式,在我想象中就是一块数字颅骨,可能左边、右边各一块。换掉之后,从外观上来讲,你跟正常人没有任何区别,头皮会缝合,头发还能长出来。数字颅骨的强度,也能够满足要求。但是它带来的想象空间,就是你的全脑都可以被读写,再配合上基因改造的方式,那可能真的就是终极状态人脑跟AI融合共生的那个时代需要的东西。当然这一步可能还有点远了,需要5~8年的时间,但至少我觉得这个方向是确定的。

05

顶尖AI科学家,如何从生命科学角度看AI

泓君:刚刚听到这个的时候,我在想有没有可能未来我们整个AI的大的突破是通过脑科学的突破带来的?因为比如说我们现在整个AI电路数可能跟我们的脑子里面的有一些电路数,它是差不多的。但是从能源功耗、聪明程度,完全不一样的。

彭雷:这也是我为什么做了四年脑机,继续在神经科学领域里面去投入未来时间的原因。就是我说,人工智能跟神经科学是个硬币的两面,他们相互促进了过去20年,而且我认为下一代的人工智能,它也会必定要去解决的几个问题,就是用这种硅基的基础来做计算,跟有没有可能有朝一日基于别的计算架构,比方说类脑芯片。当然还是硅基的,但它架构不是冯诺依曼的架构了,它是存算一体的。它可能功耗就比现在的这种冯诺依曼架构、GPU的架构的功耗明显的提升。

我在很多场合做过人脑跟AI的指标上的对比,我们现在如果拿一块英伟达H200 GPU,晶体管数量接近人脑神经元数量,但功耗高达上千甚至上万瓦,而人脑仅需25瓦。还有很大的一个区别就是这边是冯诺依曼架构,这边是存算一体的结构,计算跟存储是分不开的。

泓君:冯诺依曼架构,是什么架构?

彭雷:几乎现在常用计算的演进都是冯诺依曼架构,它属于“存算分离”。而我们大脑“存算一体”,这是很重要的一点。我们现在AI的计算的硬件,跟软件是可以分开的,DeepSeek能跑在英伟达上,也能够跑在华为上。但我们人脑的硬件、软件是不可分开的。所以说,人脑不被定义成“硬件”或“软件”,它叫“Wetware”湿件,它硬件跟软件是合在一起的,这是生物计算跟传统硅基计算不一样的地方。

还有很重要一点,人脑是有可塑性的,就是人的神经元每天都在实时地产生变化。比方说今天我们聊完两个小时下来之后,你的大脑已经被我永久的改变了,因为你记住了我说的某些概念,形成了某些观念跟认知,这些认知是以物理方式留在了你的大脑里面,神经元跟神经元之间形成的某些突触,它被强化了,它的放电的频率被变高了。你可以理解为,这个神经元的轴突跟树突之间的连接的频率跟强度,被强化了,是物理上可以看得见的。这种改变是人脑具备的,但AI的芯片烧好了就那样,永远没有办法改里面的线。

图片来源:pixabay

泓君:很有意思。所以听完我们这期播客的同学们的大脑,也被改变了。

彭雷:是的,以后大家再遇到跟脑机接口、脑科学相关的话题,他就会想起来很多的相关联的知识。

回到你刚才的问题,人工智能的下一步发展会不会出现重大的跃迁?我相信跟神经科学是一定不可分割的。这也是为什么你看Jeffrey Hinton,去年诺贝尔物理奖获得者,“人工智能之父”,他其实是Neuroscience(神经科学)背景出身。得了诺奖后,Jeffrey也说,他其实现在想回到神经科学领域里面,再看看底层的研究。包括他最大的一个假设,就是为什么神经科学的计算里面没有反向传播,我们AI是完全依靠反向传播梯度下降来做所有的模型的收敛的,而这一套在人身上是没有的,在生物界是没有的。

另外一个,就像Demis Hassabis,AphaFold的创始人。他现在其实不光是管Deep Mind了,他其实把Google的整个人工智能的团队跟Deep Mind合并掉了,所以Gemini也是他在管。过去先做AlphaGo,再做AlphaFold,到现在做AlphaGeno,下一步他想做的是“人工智能虚拟细胞”(AIVC)。Google整个这些纯科学的研究,都是Demis的团队在管。

泓君:人工智能虚拟细胞,这个是什么东西?

彭雷:这又是个新的概念,如果展开讲又是一集播客了,简单解释一下吧。这是Demis最大的梦想之一,他说他为什么进到人工智能领域,就是他希望用人工智能模拟出人体。你看他模拟蛋白质折叠,他是预测不同的氨基酸序列折叠出来的蛋白质形态会怎么样,这个事情已经做到90%以上的准确率了。

但是细胞是组成人体的最小单元。他觉得如果我能够通过AIVC的方式设计出虚拟的细胞,那我未来就可以做虚拟器官,做虚拟人体。那AI细胞当然是终极地对碳基生命做模拟的一个过程。

对细胞本身做AI化,是有重大的商业价值的。如果我知道了这个细胞,在AI情况下对它进行一些扰动,它会产生什么样的反应,那其实就可以预测不同的药物对细胞的效果。像现在很多新药研发需要做动物实验,那如果有了虚拟细胞,很多药品可能在进到动物实验之前,在AI层面上就筛掉了百分之八九十不靠谱的成分,那这种情况下效率会极大地提升。这个就是Demis自己成立的创业公司,叫Isomorphic Labs(同构实验室),也是一上来就融了6.5亿美金,他的顾问有4个诺贝尔奖获得者,整个顾问团极其豪华。

图片来源:isomorphiclabs.com

泓君:什么时候的事?

彭雷:就一年前吧。所以你想想,Demis真的是人生赢家,诺贝尔奖也拿了,Google的高管也干了,Deep Mind也卖了,钱也赚到了,还自己创了个业搞了个Isomorphic,slogan是“Solve all disease”,治疗所有疾病。

泓君:这个野心太大了。

彭雷:只有Demis这种人敢去做这种事情。所以你看,这这些就是AI科学家,因为AI拿了诺奖的人,他们怎么在看医学,怎么看生命科学,怎么看神经科学。在国内很多场合,我都发现大家看AI,还是看纯AI、看互联网、看硬件的这个逻辑。但是在美国这些最顶级的AI科学家,他们是从生命科学的角度在看AI。

这一点上,我在国内很多场合都呼吁大家要更多地看回我们自身。人类被进化了200万年成为现在这个样子,生物学上有太多我们还没找到的答案,这些答案,对我们自身了解自己、改善自己,对延长人类寿命,对AI的下一代的研发都是有重大的突破的,但这方面的投入其实还是比较少的。

泓君:因为你比较了解人脑的构造,就是人脑它有很多的功能分区,可能有一些功能分区是掌管记忆,有一些是掌管语言,有一些是掌管行动的。我们看到现在所谓的大语言模型,它还是在用语言做交互,所以我不知道现在我们在提到这个大模型的时候,它的语言跟人脑掌管语言有什么区别跟共通之处?大脑还有什么样的空间没有被AI用到?但是未来可能可以帮助到AI的?

彭雷:对,这是非常好的一个问题,首先它目前是没有答案的。为什么大语言模型从Transformer论文出现到现在ChatGPT-5这几年,有这么快的发展,是因为有几个重要的假设。过去我们人类的绝大部分知识是用语言来承载的,语言是人类对文明或者是我们知识累积的一种最高抽象的描述。

然后再随着人工智能对这种便利全球的数据的训练,再用Transformer的架构,再用Attention的机制,它涌现了我们现在看到的大语言模型。然后我们通过它的Scaling Law(规模化法则),对参数集、对GPU、对训练集、对强化模型、对合成数据的方式……能看到它走向AGI(通用人工智能)的这个路径,这一切都建立在语言的基础之上的。

但这里面有几个问题,第一,语言最大的一个问题是它信息浓度很高,每个词的描述是精确的。但世界模型——有别于语言模型的下一代——最大的问题是它的模态不是可精确描述的。这也是为什么像李飞飞他只搞了一个World Labs,来做世界模型。

我们作为一个个体,在这个世界上跟物理世界发生互动,我把这个门怎么打开?我把这个手机怎么举起来?这里面涉及到物理,涉及到化学,涉及到很多先验的知识,这些知识它不是被结构化的、高浓度的语言所描述的。

所以有人问我ChatGPT会不会产生意识?我觉得现在肯定不会。它要产生意识,有个必经之路就是要让它具备跟物理世界发生互动的能力。所以说AI需要跟具身智能结合,这个具身智能在这个物理世界里面去摸爬滚打、去走、去受奖励、受惩罚,它对主观跟客观有感受了,才会有意识。因为从神经科学的角度来讲,意识的定义就是我对物质世界(或者物理世界)产生感知跟认知的反馈的这个过程中,才有了意识。

如果只停留在H200上面,我觉得它是不会产生意识的,但它如果被赋予了具身智能的身体,那我觉得就有可能。所以说我觉得人工智能、具身智能跟脑机接口这三个事情,迟早地会交叉在一起。

06

价值脱钩,生物医药投资的价值洼地

泓君:您之前创建的脑虎科技,也是在一例一例地收病人,这种收病人在我理解中更多还是做研究,做临床试验的角度,现在可能也不能马上去做商业化。所以这一类公司的创业,如果大家要去准备一个储备资金,你觉得要储备多久的资金?商业化会是创业者面临的一个特别大的压力吗?

彭雷:在生命科学领域里面创业,确实要有一个长期的基本的判断。就像我刚刚说的,过去互联网我们恨不得两周一迭代一个版本。但你做药也好,做器械也好,你得做好至少5年、7年的一个判断。

在美国做一个三类有源植入的医疗器械,平均需要10亿美金、10年时间。在中国做电学脑机接口的几家公司,大概都是奔着7亿左右的资金储备、7年左右拿证的时间来的。

泓君:这样看下来,中国的创业要比美国便宜很多。那这样是不是反向的,比如说美国投资者投资中国的创业者,看起来是一个更容易实现商业回报的过程。

彭雷:完全同意,中美在现在这个地缘政治的环境之下,对于硬科技公司,两边之间的估值模型已经完全脱钩了。就像国内的做电学脑机接口的公司,大家平均估值3亿美金,Neuralink则是120亿美金。我们这边做GPU的寒武纪6,000亿人民币,那边英伟达3万亿美金。可以看到中美在科技领域上,如果说过去5年前、10年前,我们大家还会有些参照物,比方说阿里跟亚马逊的估值,爱奇艺跟Netflix的估值还有些可比性的话,现在在硬科技领域,已经是各估各的了,中间已经没有一个横向的逻辑了。

所以说假设没有地缘政治的这种脱钩也好,或者互相之间的断联也好,那当然投资中国的生物科技的公司一定是远远高过在美国做的。我刚才讲的做临床实验方便,在中国做一例临床实验可能几十万人民币,Neuralink在美国做一例临床实验100~150万美金,这是个巨大的差。

泓君:一例100~150万美金,它主要贵在哪?

彭雷:医院贵,医生贵,手术贵,术后护理贵,他们的保险是非常之夸张的。你看过小红书上的那些在美国看病的,对吧,感冒进去宰你个8,000美金算少的了,稍微输个液就3万美金起了。那你算成一个开颅手术,从术前的检测做准备,到术中,到术后再做康复,再来回访……一个项目收你百万美金很正常。

我觉得中国生命科学的公司,我们要有耐心,虽然说已经各估各的了,但从商业本质的角度来看,我们中国自身的本土优势、人才优势、供应链优势、临床资源优势还是不可替代的。我相信这个世界它也是一个三十年河东、三十年河西的过程,等到估值逻辑重新回归理性的时候,中国的生命科技公司,中国的生物制药的公司,中国的硬科学的公司,估值是有很大的提升跟修复的空间的。

泓君:对,说到这个,我想到现在整个中国的创新药这个价值洼地已经在被美国的投资者看中了。他们已经开始产生一种NewCo的模式——就相当于在美国你找一个销售代表或者是白人CEO,但是你把研发跟临床往中国搬,最后成功了的药再反向去输出美国。这个我觉得从2023年、2024年就开始变得比较火爆了,今年应该也是一个投资巅峰。

彭雷:我觉得创新药特别明显,就像你说的研发跟临床,在中国做早期的一些技术层面上,双向地做一些许可引进(license-in)也好,对外授权(license-out)的这种设计也好,已经被证明了是中美之间还能够很好合作的一个领域了。虽然说中美现在在AI、芯片、量子方面是完全不允许投资了,互相之间都设了一些限制,但是生物制药跟生命科学大家还是留了一点门的。因为大家都在治病救人,双方还有留了一点默契。我觉得这个空间会有越来越多的人看到,还是能够在中美之间去做一些协作的事情的,生命科学就是其中之一。

泓君:因为其实都是跟脑机接口相关的,这个新项目为什么不是放在脑虎做,而是要出来重新做一家公司吗?

彭雷:技术赛道不一样,两个整个方向上还是有区别,因为刚才我讲了电学的,它价值是确定的, Neuralink做的病,市场空间是明确的,国内的这几家公司也都是非常快的在追赶,商业路径也比较确定。我自己的个性,比较喜欢做“从0到1”的探索,一旦方向确定了,我可能反而还没有那么强的挑战感。

泓君:我们刚刚在聊超声脑机接口跟AI结合的可能性,然后我看马斯克他们做的,他也是想用侵入式的脑机接口去控制机器人手臂的。

彭雷:这个其实一点也不难,就像我刚才讲的,我们现在做电的脑机接口的公司,大家都在做的是控制鼠标,其实患者只要能控制鼠标之后,理论上他可以控制万物了。只是自由度,从两维的自由度变成三维的或者六个自由度而已。那再往下一步,如果通道数更多的话,去控制一个“宇树”或者“傅利叶”的双足机器人,我觉得也完全没问题,只是自由度更多而已。

随着记录的神经元越多,能够解码的自由度也越多,那从控制二维电脑,到三维机械臂,到更高自由度的机器人,都是完全可以看得见的。所以说马斯克当时讲的这个路线,他预测2028年之前他能做到这些事情,我是认的。脑虎我们也是这样规划的,也能做到,只是说速度快慢,性能好不好而区别,但方向上是看得见的。

但他上次发布会,我对他最大的一个质疑是,他觉得到2028年,他能实现知识跟记忆的上传。这一点上有点过于乐观了,从现在的这种局部放电极的方式,是永远没有办法解码意识的。这个话我可以放在这里,意识的这种更复杂能力,是全脑多脑区的环路的调控的结果,不是某个区域运动神经元的解码,也不是说你左边装一个,右边装一个,视觉装一个,听觉装一个,深脑再插一个,你就能解码意识。意识一定不是这样的。所以现在知识跟记忆的上传,我们都不知道它要怎么去实现,它的原理是什么样,它用什么的方式可以实现。

简体中文 English